Smile Makeover

  • Home
  • Smile Makeover

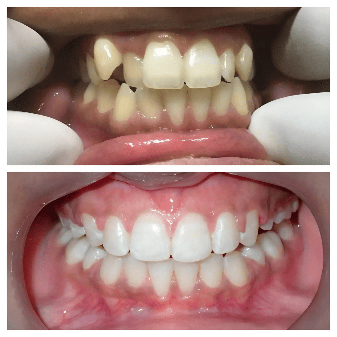
Smile Makeover in Rajahmundry
Achieve a Perfect, Radiant Smile

At Krishna Dental Cure, we offer customized smile makeovers in Rajahmundry to enhance your smile using advanced cosmetic and restorative treatments.

Step 1: Smile Assessment and Planning

We evaluate your teeth, gums, and facial structure to design a personalized smile makeover plan.

Service Image
Service Image

Step 2: Cosmetic and Restorative Treatments

Depending on your needs, treatments may include teeth whitening, veneers, crowns, or orthodontics.

Step 3: Final Adjustments and Smile Reveal

We ensure proper fit and aesthetics, making final refinements for a stunning and confident smile.

Service Image
Team Area
Team Area
Team Area
Team Area